What Are The Symptoms Of A Dog With Lung Cancer - 1 - However, some dogs only experience weight loss (despite a good appetite) and/or lack of energy.
Dapatkan link
Facebook
X
Pinterest
Email
Aplikasi Lainnya
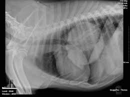
What Are The Symptoms Of A Dog With Lung Cancer - 1 - However, some dogs only experience weight loss (despite a good appetite) and/or lack of energy.. The following diagnostics are recommended: However, some dogs only experience weight loss (despite a good appetite) and/or lack of energy. Symptoms of canine lung cancer up to 25 percent of dogs with lung cancer may not show any symptoms of illness in its early stage. Cancer is defined as uncontrolled growth of abnormal cells, but the signs and symptoms vary greatly depending on the location and type. All breeds and both genders appear to be equally affected.
Your dog's chest may enlarge due to the tumor present. If the dog coughs once or twice, it's of no concern, but if. It is estimated that 25% of dogs with a lung tumor show no related signs of cancer. The dog is not coughing up mucus) although the cough may produce small amounts of phlegm or blood. They are rare in both species, but slightly more common in dogs.
How We Helped A Dog With Metastatic Cancer Live 3 Years By Using Metronomic Chemotherapy Vlog 106 from i.ytimg.com All breeds and both genders appear to be equally affected. The most common abnormal clinical sign reported in dogs with lung cancer is chronic cough. Symptoms of lung cancer are coughing (which may also produce phlegm or blood), exercise intolerance (lethargy), weight loss or loss of appetite, and other respiratory signs such as trouble breathing or shortness of breath. Unlike some other types of cancer, there are some concerning symptoms that arise in the earlier stages of primary lung cancer for dogs that should immediately alert you that something is wrong. Occasionally, small amounts of blood may be coughed up. Lung cancer in dogs symptoms the symptoms of lung cancer are coughing (which may produce phlegm or blood), exercise intolerance (lethargy), loss of weight or loss of appetite and other respiratory symptoms such as difficulty breathing or shortness of breath. The dog is not coughing up mucus) although the cough may produce small amounts of phlegm or blood. For example, small breed dogs tend to develop coughs because they have windpipe problems.
The dog will present symptoms such as chronic coughing and lack of appetite.
The lack of interest in food might be related to the type of cancer. Lung cancer in dogs symptoms the symptoms of lung cancer are coughing (which may produce phlegm or blood), exercise intolerance (lethargy), loss of weight or loss of appetite and other respiratory symptoms such as difficulty breathing or shortness of breath. It is estimated that 25% of dogs with a lung tumor show no related signs of cancer. The dog may cough up blood, but not mucus. However, some dogs only experience weight loss (despite a good appetite) and/or lack of energy. Most dogs with lung tumors present with coughing, exercise intolerance or other respiratory signs. However, there are some other symptoms that lung cancer can cause in dogs if the disease has spread to other parts of the body. All breeds and both genders appear to be equally affected. Adenocarcinoma of the lung in dogs. Respiratory problems such as a cough that doesn't respond to treatment is an early indicator that dog lung cancer may be the underlying cause of the condition. Unlike some other types of cancer, there are some concerning symptoms that arise in the earlier stages of primary lung cancer for dogs that should immediately alert you that something is wrong. When symptoms do become evident they can include any of the following depending on the size and location of the tumor: That said, here are some general signs and symptoms that indicate the possibility of lung cancer:
Signs of lung cancer in dogs many dogs with a lung tumor show no related symptoms, while other dogs may display one or more of the following symptoms depending on the size and location of the tumor: Carcinomas are malignant tumors that develop from the epithelial tissues in the lungs. The clinical sign characterized as abnormal more common in dogs with lung cancer is a. Your dog's chest may enlarge due to the tumor present. Cancer of the lungs is a progressive disease, meaning it gets worse over time.
Top 10 Warning Signs Of Cancer In Dogs And Cats Part 2 Vlog 82 from i.ytimg.com It is estimated that 25% of dogs with a lung tumor show no related signs of cancer. Unlike some other types of cancer, there are some concerning symptoms that arise in the earlier stages of primary lung cancer for dogs that should immediately alert you that something is wrong. Cancer of the lungs is a progressive disease, meaning it gets worse over time. Symptoms of lung cancer in dogs usually there are no symptoms in the early stages of canine lung cancer. Symptoms of canine lung cancer up to 25 percent of dogs with lung cancer may not show any symptoms of illness in its early stage. Most dogs with lung tumors present with coughing, exercise intolerance or other respiratory signs. Some of the most common signs of lung cancer include: Symptoms of lung cancer (adenocarcinoma) in dogs there are many symptoms that are general in nature, such as weakness and loss of appetite, so it is sometimes difficult to know when your dog is really ill enough for a trip to the veterinarian's office.
Symptoms of lung cancer (adenocarcinoma) in dogs there are many symptoms that are general in nature, such as weakness and loss of appetite, so it is sometimes difficult to know when your dog is really ill enough for a trip to the veterinarian's office.
This just means that the route of testing is usually different for each dog. However, some dogs only experience weight loss (despite a good appetite) and/or lack of energy. Your dog's chest may enlarge due to the tumor present. Unlike some other types of cancer, there are some concerning symptoms that arise in the earlier stages of primary lung cancer for dogs that should immediately alert you that something is wrong. You can spend a lot of money on invasive diagnostic tests like bronchoalveolar lavage … and never really know exactly what the cause is. Cancer is defined as uncontrolled growth of abnormal cells, but the signs and symptoms vary greatly depending on the location and type. That said, here are some general signs and symptoms that indicate the possibility of lung cancer: However, there are some other symptoms that lung cancer can cause in dogs if the disease has spread to other parts of the body. The most common abnormal clinical sign reported in dogs with lung cancer is chronic cough. So, monitoring your older dog's overall health is essential. When it comes to diagnosing cancer in dogs, there are a number of ways to go about this. Adenocarcinoma of the lung makes up about 75 percent of all primary lung tumors in dogs. Get the dog cancer survival guide to read more on end of life and hospice care, in chapter 25.
For example, small breed dogs tend to develop coughs because they have windpipe problems. Symptoms of lung cancer are coughing (which may also produce phlegm or blood), exercise intolerance (lethargy), weight loss or loss of appetite, and other respiratory signs such as trouble breathing or shortness of breath. If the dog coughs once or twice, it's of no concern, but if. Cancer is defined as uncontrolled growth of abnormal cells, but the signs and symptoms vary greatly depending on the location and type. However, some dogs may not present any symptoms at all.
Lung Cancer In Your Dog Signs Symptoms Treatment And Prevention from angus2012.com The lack of interest in food might be related to the type of cancer. Coughing doesn't automatically signal cancer; At this stage, the tumor can be removed through surgery. Symptoms of canine lung cancer up to 25 percent of dogs with lung cancer may not show any symptoms of illness in its early stage. Respiratory problems such as a cough that doesn't respond to treatment is an early indicator that dog lung cancer may be the underlying cause of the condition. Your veterinarian may recommend an fna and cytology or a biopsy, to confirm the diagnosis, and determine exactly what kind of lung cancer is present. However, some dogs may not present any symptoms at all. When symptoms do become evident they can include any of the following depending on the size and location of the tumor:
You can spend a lot of money on invasive diagnostic tests like bronchoalveolar lavage … and never really know exactly what the cause is.
Your dog's chest may enlarge due to the tumor present. They are rare in both species, but slightly more common in dogs. Lung cancer in dogs symptoms the symptoms of lung cancer are coughing (which may produce phlegm or blood), exercise intolerance (lethargy), loss of weight or loss of appetite and other respiratory symptoms such as difficulty breathing or shortness of breath. All breeds and both genders appear to be equally affected. The dog may cough up blood, but not mucus. At this stage, the tumor can be removed through surgery. Cancer of the lungs is a progressive disease, meaning it gets worse over time. Most primary lung tumors are diagnosed at an average age of 10 to 12 years in dogs. Symptoms symptoms of lung cancer are coughing (which may also produce phlegm or blood), exercise intolerance (lethargy), weight loss or loss of appetite, and other respiratory signs such as trouble breathing or shortness of breath. #1 lack of appetite as with people, dogs suffer the negative effects of cancer treatments, including loss of appetite. Respiratory problems such as a cough that doesn't respond to treatment is an early indicator that dog lung cancer may be the underlying cause of the condition. Your veterinarian may recommend an fna and cytology or a biopsy, to confirm the diagnosis, and determine exactly what kind of lung cancer is present. Coughing doesn't automatically signal cancer;
Storage miners are cryptocurrency miners who rely on offering sufficient storage space for nodes to reach consensus and validate transactions. We discuss two such accounts that are being used to spread cryptocurrency miners by abusing the docker rest api. 3 gh/s (variation of ±5% is expected). This happened long before the creation of bitcoin cash. Malicious script found in docker images. Ether Faucet - a new Ethereum-faucet from cryptoage.com 20.05.2011 · when r/bitcoin moderators began censoring content and banning users they disagreed with, r/btc became a community for free and open crypto discussion. This happened long before the creation of bitcoin cash. Store of value a store of value is an asset, commodity or currency that can be saved, retrieved as well as exchanged in the future without it losing any value. The images contain a ma...
How To Make A Fake Social Security Card / fake social security cards | Buy you fake social security ... : If you need fully editable social security card template psd file, you can download and edit file with your own information. . We advise you to use your real name while submitting your order with us, in that case, you can back up your fake social security card with a driver's license or a credit/debit card for checking or scanning. Do you want to hire for ss card. Fakeidcardmakers.net is a high quality template selling company. We provide fake social security cards for sale. And fill up the name number and date and signature. We are online fake ssn generator. The social security card is an essential document just as a passport or a birth certificate. To buy this ssn card, you can associate with our online agency. A bit of heavy paper published using a photo and accustomed to send out a message or greeting; Right click on fonts and click on install fonts. ...
How To Make Creative Birthday Cards At Home : 30 Creative Ideas for Handmade Birthday Cards - Even if you are not good at crafting, with some simple cutting and pasting, you can still make this unique 3d birthday card to send your blessings for family and friends. . There are masculine cards, women cards, and cards for kids. There are endless ways to personalize it, from watercoloring your own stationery to a using washi tape on plain card stock. Resizing your completed card is easy, just click the resize button and use a preset size or choose your own custom size. All it takes are quarter inch strips of paper scraps woven through slits in the cardstock. Happy birthday button card this card doesn't come with a tutorial, but it's such a simple idea, you should be able to figure out how to recreate it relatively quickly. Crafting a birthday card also makes for a fun and easy creative project the entire family can get in on. Fold butterflies out of wrapping or ...
Komentar
Posting Komentar